Dental Implants
After tooth loss, you may worry that you will never eat, talk, or smile like you used to do. We're happy to say that's not the case.
The skilled dentists at Ata Dental can restore your teeth and confidence, thanks to durable dental implants.
To learn more about how the implant process works, visit our caring team in Kissimmee and Orlando, FL.
Dental Implants: A Permanent Tooth Loss Solution
After you have lost a tooth or teeth, you may worry that you'll never have a beautiful or functional smile again. Fortunately, dental implants can help give you your smile back. Dental implants are artificial tooth roots that can secure restorations like crowns or bridges. We place effective zirconia and titanium implants at our two Orlando-area offices. Visit us to get started.
We Handle Every Part of an Implant-Supported Restoration
At our practice, we can place each component of your new smile. That includes:
Dental Implants
We use dental implants, or posts, to replace your tooth roots. They're placed inside your gum and jawbone, where they will fuse into place through a natural process called osseointegration.
Abutments
Abutments are connector pieces that attach your implant to your new crown, bridge, or denture. Your restoration will conceal them completely, giving you a natural-looking new smile.
Restoration
Lastly, we'll place your customized restoration. Our dentists can place crowns for a single tooth, bridges for two or more teeth, and dentures for a full arch of teeth.

A Completely New Smile Made Possible by Implant Dentures
Even if you're missing a full arch of teeth, we can help — just like we did for this patient.
Improve Your Bone Health With Dental Implants
It's common to lose jawbone tissue after losing teeth. That's because the bone lacks the stimulation that had been provided by your tooth roots. Over time, the changes to your jawbone can create a sunken facial appearance — even if you wear a traditional denture.
Why? Traditional restorations may fill the spaces in your smile, but because they don't stimulate the jaw they cannot improve your bone health. Only dental implants can. Luckily, we place dental implants in-house, allowing our Orlando patients to protect their bone tissue for years to come.
You've Found a Solution Visit Our Dental Team to Start Smiling Again
How long has it been since you have felt truly confident in your smile? Sadly, with tooth loss or decay, the answer might be a long time.
Losing a tooth is more common than many patients may think. And, thanks to dental implants, it's a completely fixable problem.
The dentists at Ata Dental are here to help, even for those with extra needs, such as extractions. Once your implants have been placed, you can trust us to secure a lifelike bridge, crown, or denture.
If you're ready to begin, contact our Orlando-area dentistry practices or call:
(407) 857-6501

“I'm an implant patient. I appreciate all the staff for their patience, sharing of information and effort to make my experience painless. Thank you.” Carla Reynolds
How Ata Dental Stands out From Other Florida Dentists
Sedation Options
One of the biggest obstacles for our dental implant patients is anxiety. Our kind care and sedation options will both keep you at ease. Patients can choose between oral conscious sedation and nitrous oxide.
After-Hours Line
Ever have questions or concerns? Ata Dental is here for you. We have an after-hours emergency line, giving you peace of mind throughout your dental implants journey.
Multilingual Care
¡Se habla Español! Our team is fluent in both English and Spanish, making it easier for Orange County and Osceola County patients to find the care they need in terms they understand.


Advanced Technology
For Stunning Restorations
In addition to placing dental implants and abutments, our team can also make and place restorations. Our in-house dental lab allows us to create high-quality, natural-looking restorations without extra turnaround time.
We proudly use Sirona's Orthophos XG 3D to scan the inside of your mouth. This gives us precise 3D imaging of your oral structures, and a more accurate and accessible view of each tooth. Then, we take the results to craft custom, lifelike restorations for dental implant patients with our 3Shape TRIOS® scanners and CAD/CAM technology in as little as an hour.
We Offer Every Step of Treatment In-House Learn What This Means for Your Care
Many Orlando dentists refer out for implant placement or bone grafting — but not Ata Dental. Our dentists can perform each step of your treatment in-house, including implant placement, sinus lifts, and restoration creation. As a result, you can enjoy:
No Referrals
It can be hard enough to place your trust in one team, much less several. At our practice, you won't need to worry about referrals. We'll streamline your care in a single dedicated office.
Better Communication
By taking charge of your case, our team will always know exactly what comes next. This means better communication among our members, and better communication with you as well.
Cohesive, Stunning Results
Our team can handle all the little details to create stunning big picture results. We will directly oversee the creation of your restorations, giving us full control of the quality.
Long-Term Dental Care
Want to find dentists you can trust for years to come? Our Kissimmee and Orlando dental offices offer comprehensive care like cleanings and emergency dentistry, so we can help you maintain your healthy new smile.
Find the right team from the beginning by contacting us or calling:
(407) 857-6501
"I trust them to help me take the best care of my teeth."
Amazing, excellent and quickly service. Dr. Santiago is very professional and all staff are helpful and the facility are modern and fully equipped.
View on GoogleATA DENTAL IS FRIENDLY, gives comprehensive care, and I trust them to help me take the best care of my teeth.
View on GoogleDoes Insurance Cover Dental Implants?
Implants are known for their stability and long-term bone health benefits. Despite their advantages, they are not covered by insurance. Fortunately, other parts of your treatment can be, such as your restoration and any extractions.
Our Orlando-area practice takes most insurances, and we can confirm if we take yours ahead of time. We also do our part to make the price of dental implants more manageable by accepting financing and providing a substantial membership discount.
Our Warranties Give Patients Peace of Mind
Not all dentists are confident enough in their work to provide a warranty, but we do. We stand behind our implants — and we only want the best for you. Examples include seven years for the root portion of your implant fixture; five years for crowns and bridges; and three years for complete or partial dentures.
Want to Learn How Much Implants Will Cost? Visit Us for a Consultation
Our dentists aim to make implants financially accessible for patients throughout Orlando and Kissimmee, FL. From financing, to insurance, to our membership plan, there are many ways that you can cover your dental implant-supported restoration.
We're happy to guide you through them all — and give you a more concrete quote — during your personalized consultation. Our team can even help you enroll in our membership plan to immediately use your new discount. Contact our friendly office team to begin, or give us at call at:
(407) 857-6501

“I came home today with 2 dental implants and a bridge. Dr Joe Ata and his staff were wonderful throughout the entire process. Each visit is better than the last. Your comfort as a patient is their number 1 concern. Everyone greets you with a smile. They take time and explain things to you as they go. I couldn't be happier with the whole process. Now I just have to get used to having teeth again. Lol. If you are in need of quality dental care, this is the place for you.” Frank Ballirano
How Do I Know If I'm an Implants Candidate?
We can discuss your treatment options when you visit our Orlando, FL, dentistry office for a consultation. Until then, it can help to know some of the requirements for dental implants eligibility, like:
Sufficient Bone Tissue
Your implant will need to fuse with your jawbone to provide stable support. In some cases, patients may not have enough bone density to support an implant. We offer bone grafting to make you a candidate.
No Relevant Allergies
A very small number of people are allergic to zirconia or titanium — the materials we use for our dental implants. Talk to our dentists beforehand if you know or suspect that you have a relevant allergy.
Healthy, Healed Gums
Patients with periodontal disease, or gum disease, must receive treatment before they can be candidates for implants. Additionally, if you need a bone graft, then you must wait to heal completely before we can place your implants.
No Teeth Grinding
Teeth grinding, or bruxism, can be more damaging than patients realize. It can wear away your natural teeth, dentures, or crown, or even stop your implant from fusing to your jaw. There is a solution, though: seeking treatment before implant placement.
Not a Candidate Yet? We Can Change That
Some Orlando, FL, dental implant patients have more involved cases than others. Even if you have insufficient bone material or decayed, damaged teeth still in place, we can help with:
Extractions
Frequently, our prospective implant patients have broken or decayed teeth, which are an oral health risk. We can extract these teeth so we can then place their dental implants and restorations.
Bone Grafting
We offer bone grafting, which can give your implants a stronger foundation. Though this procedure will add a few months to your treatment timeline, it's an excellent investment in your results.
Sinus Lifts
Our dentists also perform sinus lifts, a type of bone graft that targets a specific area. This treatment allows us to both supplement the bone in the sinus area and move up your sinus floor.
The All-on-X Technique Means Easier Qualification
Have insufficient bone tissue, but want to avoid bone grafting? You can still become a candidate for implant-supported dentures. The highly trained team at Ata Dental uses the All-on-X® technique to place dental implants with less bone tissue.
Unlike other methods, it uses as few as four implants per full arch denture. As a result, it requires less bone material to secure your implants and denture. Plus, patients may be able to leave with temporary dentures on the same day.

Don't Want to Wait for a New Smile? Get to Know Teeth in a Day
Though we often use Teeth in a Day for a full arch of dentures, in some cases it can also help with a single tooth. This efficient procedure takes place in two convenient stages. After each, you will be able to enjoy a complete and natural-looking smile.
Stage One
If you're a candidate for Teeth in a Day, you'll have a completely new smile after just one visit. Our dentists will remove your decayed or damaged teeth and secure your implants. Then, we can attach your abutments and a temporary restoration.
Stage Two
After your temporary crown or denture has been placed, you'll need time to heal. This takes about three to five months. Next, you'll visit our Orlando or Kissimmee, FL, office, where we will secure your final restoration.
The Dental Implant Process From Start to Finish
No need to travel from office to office to find specific specialists. Our dentists have the advanced training to perform every step of your treatment. We personalize each plan according to your needs, so there will be some variation betweeb patients. Here's what you can generally expect:
Ata Dental pairs sedation options with local anesthetic to keep you as comfortable as possible.
What Restoration Placement Looks Like
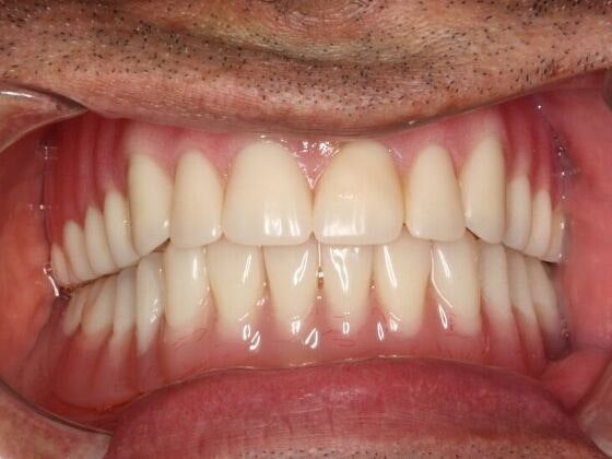
The Remarkable Results Of an Implant-Supported Crown
Our Patients Happily Stay With Ata Dental For Years to Come
I have been using Ata Dental exclusively since coming to Florida 17 years ago. The organization is top-notch and virtually flawless operationally. The doctors are clearly experts in their craft and treat patients with the utmost concern and respect. Try this practice once and I promise you will stay.
View on Google
I have been going to ATA dental since 2015 and always love the experience. Very hygienic, friendly and most importantly Doctors and staff are great at what they do. Highly recommended
View on GoogleDental Implant FAQs
Can I get implants and a restoration at the same time?
Potentially, yes. It will depend on your case and the treatment you receive. Both Teeth in a Day and the All-on-X technique allow us to secure your temporary restoration when we perform implant and abutment placement.
Will I need to replace my implants?
No — as long as you take good care of your smile, you'll likely undergo implant placement just one time. Though crowns, bridges, and dentures will need periodic replacement, zirconia and titanium implants remain in place for a lifetime. This makes them an excellent investment in your long-term oral health.
How long does it take to recover from implant surgery?
You can expect your recovery to take about three to six months for a standard implant placement surgery. Your overall timeline will take longer if you need bone grafting for a weakened jawbone.
“Ata is the best dental practice that I've ever been to, by far! Everyone, from the front office staff, technicians, dental hygienists to the dentists are skilled, efficient, friendly and have a great bedside manner. I've been under their care for a couple of years now, and Dr. Ata did a fantastic job on an implant for me. He always explains things thoroughly and is very knowledgeable…Highly recommend Ata Dental!” Jessica B.


