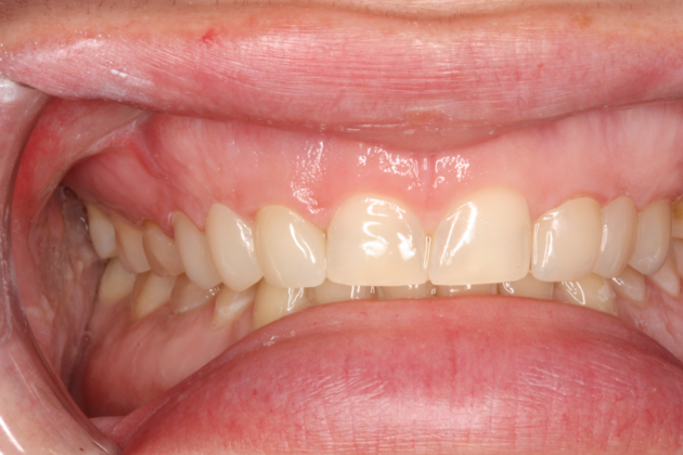
Porcelain Crowns and Veneers: Restoration of a single tooth with a crown

Contact Us

Fields With Are Required
You can also call us at (407) 857-6501. This site is protected by reCAPTCHA and the Google Privacy Policy and Terms of Service apply.

Rate, Review & Explore

Social Accounts Sprite